Full Face Botox: A Comprehensive Guide
Read article
Polynucleotides – An Update
Read article
Embracing Digital Dentistry
Read article
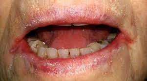
A Recent Paper On “Angular Cheilitis
Read article
A Deeper Look into Angular Cheilitis: Causes, Symptoms, Treatments, and Patient Pathway
Read article
Eye Bags – Causes and Treatments
Read article
Mounjaro for Weight Loss
Read article
Blood Tests on the Isle of Man at Tracey Bell
Read article