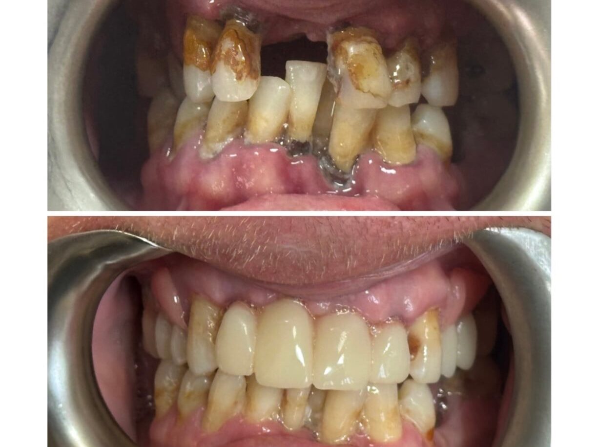
• Composite Bonding at Tracey Bell Clinic, Isle of Man: Everything You Need to Know

    Read article
  • Geographic Tongue: Causes, Symptoms, and What You Need to Know

    Read article
  • How Do Mounjaro & Wegovy Affect Taste and Smell?

    Read article
  • Unusual Side Effects of Weight Loss Injections: Understanding Sulphur Burps, Taste Changes, and Smell Alterations with Mounjaro & Wegovy

    Read article
  • Mounjaro (Tirzepatide): The Weight Loss Injection and the Mystery of the Extra Dose

    Read article
  • Understanding the Index of Orthodontic Treatment Need (IOTN) and NHS Referrals on the Isle of Man

    Read article
  • The Ban on Amalgam Fillings: My Perspective as a Dentist on the Isle of Man

    Read article

Book a Consultation

All personal data submitted via this form will only be used to contact you to book your consultation and stored until your enquiry is closed.