A Question I was sent today – I can work from anywhere.

Teeth turning black or dark can be attributed to various factors, including diet, oral hygiene, medical conditions, and lifestyle choices. Here are some common reasons why teeth might appear dark or black:
Diet:
Poor oral hygiene:
- Inadequate brushing, flossing, and regular dental cleanings can lead to plaque build-up and eventual tooth discolouration, which can appear as dark spots or patches on the teeth. See a hygienist.
Dental materials:
- Amalgam fillings containing a mixture of metals can cause the surrounding tooth structure to appear dark or greyish over time. I hate the appearance of dark premolars.
Medications:
- Certain medications, particularly antibiotics like tetracycline and doxycycline, can cause intrinsic tooth staining during tooth development (in childhood). This can result in grey or dark bands on the teeth. Tetracycline staining is the drug commonly that causes this.
Fluorosis:
- Excessive fluoride exposure during tooth development can cause fluorosis, leading to discoloured teeth with brown or black spots.
Dental decay:
- Untreated dental cavities can darken teeth as the decay progresses and penetrates the tooth structure. They look dark and unsightly.
Trauma:
- Injury or trauma to a tooth can disrupt the blood supply and cause the tooth to become discoloured, appearing dark.
Age-related changes:
- As people age, the outer enamel layer of the teeth can wear down, revealing the yellowish dentin beneath. This can make the teeth appear darker.
Genetic factors:
- Some individuals may have naturally darker or more yellowish teeth due to genetic predisposition.
Excessive iron supplements:
- Overusing iron supplements can lead to black discolouration of the teeth, known as iron staining.
Mouthwashes and rinses: WATCH OUT FOR THIS ONE CORSODYL
- If used in excess, certain mouthwashes and rinses containing chlorhexidine or cetylpyridinium chloride can cause brown stains on teeth.
Maintaining good oral hygiene, visiting a dentist regularly for cleanings and check-ups, and avoiding tobacco use and excessive consumption of staining foods and beverages to prevent or minimize tooth discolouration.
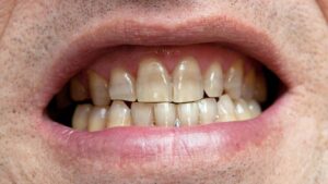
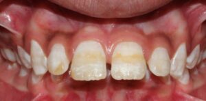
If you’re concerned about the colour of your teeth a Consultation is always advisable and in the case today – the darkness staining was due to excessive use of CORSODYL
Hope that helps
Back to blog