As a practising dentist on the Isle of Man, I have seen many changes in dentistry, but one material that has remained in use for decades is dental amalgam. The recent EU ban on amalgam fillings from January 1, 2025, has reignited discussions about its place in modern dentistry. While the UK and the Isle of Man have not yet implemented a complete ban, it raises the question—should we still be using amalgam?

Why Has Amalgam Been Banned in the EU?

The EU has decided to phase out amalgam due to concerns about mercury’s environmental impact. Dental amalgam contains mercury, which can contribute to pollution through wastewater, cremation, and landfill waste. The Minamata Convention on Mercury aims to reduce mercury use globally, pushing dentistry towards mercury-free alternatives.

From a health perspective, while studies have not definitively proven that mercury from fillings harms patients, many individuals prefer composite resin or ceramic fillings, which offer both safety and aesthetics.

Amalgam on the Isle of Man: Still in Use

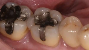
Unlike the EU, the UK and the Isle of Man have opted for a gradual phase-down rather than an outright ban. Currently, both NHS and private dental practices on the Isle of Man still provide amalgam fillings where needed. Amalgam remains a strong, durable, and cost-effective option, particularly for molars subjected to heavy chewing forces. For some patients, it is the preferred choice due to its longevity.

Since 2018, restrictions have been placed on its use for children under 15, pregnant women, and breastfeeding mothers, but adult patients can still request amalgam fillings if they wish.

What Are the Alternatives?

The good news is that modern dentistry now offers several mercury-free alternatives, including:

  • Composite Fillings – Aesthetic and tooth-coloured, suitable for both front and back teeth.
  • Ceramic Fillings – Highly durable and biocompatible, often used for inlays and onlays.
  • Glass Ionomer Fillings – Release fluoride and are useful for smaller cavities, especially in children.

The Future of Dentistry on the Isle of Man

While amalgam is still available on the Isle of Man, the shift towards mercury-free dentistry is undeniable. Patients are becoming more aware of environmental sustainability and seeking aesthetic solutions that blend naturally with their teeth. As a dental professional, I am always exploring the best alternatives to ensure we offer safe, effective, and modern treatments.

The future of dentistry on the Isle of Man will likely see a gradual move away from amalgam as better materials continue to emerge. However, until official regulations change, patients will still have the option to choose amalgam where appropriate.

Conclusion

Amalgam fillings still have a place in Isle of Man dentistry, but the landscape is evolving. With increasing awareness and advancements in dental materials, the demand for mercury-free alternatives is growing. At our practice, we stay ahead of these changes, offering patients the best solutions tailored to their needs. Whether you prefer amalgam or a modern filling alternative, we are here to provide the highest standard of dental care.

For more updates on dental materials and regulations, visit the British Dental Association (BDA): BDA Amalgam Updates

Share this on:
Back to blog

Book a Consultation

All personal data submitted via this form will only be used to contact you to book your consultation and stored until your enquiry is closed.