“what a lot of people appear not to realize
is that periodontal disease in the
99% of the cases is completely treatable,
even in severe cases and late treatment.”

Untitled-1

No longer should we be “long in the tooth”!

castletownfrontsmall

PERIODONTAL DISEASE IS NOT NEW. IT IS A CHRONIC
MULTI FACTORIAL INFLAMMATORY DISEASE CAUSED
BY CERTAIN STRAINS OF BACTERIA, IN THE RESULT
OF WHICH THE GUMS AND DEEPER TISSUES THAT
SURROUND AND SUPPORT THE TEETH BECOME
INFLAMED AND ARE REABSORBED.

giovannicastletown

About 50% of the adult population suffer from some form of the disease, as many as 85% of people over 65 years of age, 98% of the population will suffer with some form of periodontal problems during their life. The disease starts simply with “gingivitis” or bleeding gums but over time can progress to permanent damage of the gum, bone and the resultant loss of teeth. Symptoms can include bleeding of the gum, sensitivity, bad breath, teeth becoming longer due to the recessions of the gums, mobility, difficulty in biting and ultimately teeth simply falling out.

However, what a lot of people appear not to realize is that periodontal disease in the 99% of the cases is completely treatable, even in severe cases and late treatment. Periodontal or gum disease can be due to a number of factors, plaque control, host response (differences on how the person reacts to plaque) and also systemic disease or external factors (stress, smoke) which can help the progression of the disease. Systemic conditions such as diabetes, thyroid, heart conditions, atherosclerosis, have all been proved to have an association with periodontal health and conditions. Periodontal disease has been also associated with problem pregnancies, it has been linked to three problems: having a baby with a low weight at birth, giving birth too early in the pregnancy, or having dangerously high blood pressure during pregnancy (pre-eclampsia).

HOW WOULD YOU KNOW
IF YOU SUFFER FROM
PERIODONTAL DISEASE?

Periodontal disease, in reality does not cause symptoms that are very clear and obvious and therefore can occur and progress insidiously. The smoke, which is one of the most important risk factors may have a “mask effect” on the bleeding, and minimizing it by making progression more subtle however, in case of presence of the signs and symptoms of the disease the first thing to do is to go to the dentist to promptly inform him of the situation and allow him to make a correct diagnosis and initiate appropriate treatments.

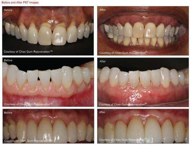
A NUMBER OF TREATMENTS
ARE AVAILABLE TO DEFEAT
THIS SUBTLE DISEASE:

Accurate periodontal assessments, accurate perio x-rays, microbiological tests, non surgical treatments, resective surgery, regenerative surgery, conservative surgery and more. The therapy need to be personalized to the single case, each treatment has specific indications and an accurate treatment planning is the only way to make sure the disease can be defeated in every case.

befafcastletown

ARE YOU CONCERNED WITH
PERIODONTAL DISEASE?

Dr Giovanni Marras has completed postgraduate education in Advanced Periodontology in Florence, Italy. You may book an appointment direct on 805230 or you may ask your dentist either NHS or Private for a referral. A full assessment, photographs, x-rays (if needed), and treatment plan will be provided.

castletown-2bwsmall

Share this on:
Back to blog

Book a Consultation

All personal data submitted via this form will only be used to contact you to book your consultation and stored until your enquiry is closed.