Speak to anybody who had a ‘train track’ brace in the 1990s and you’ll likely hear a familiar tale – namely, that the results didn’t last beyond their youth.
Not because the unsightly metal bonds didn’t do their job. But because orthodontic relapse – or teeth moving back into their old position – is surprisingly common when, like me, patients are only advised to wear their retainers short-term (if at all).
Ultimately, this was my experience: less something to smile about, more something to grin and bear – until recent strides in cosmetic dentistry offered me a second chance in exchange for six simple weeks of treatment.

At first glance, my case didn’t appear to be particularly bad. Just a single tooth had moved out of place, but – for a perfectionist like me – it seemed to undermine all those adolescent months of sacrifice, which included mouth ulcers, soft foods and sore gums.
As my tooth continued to move with each passing year (I later learned that teeth are never static – they’re always moving depending on pressure, age and condition), it also became increasingly tough to clean and floss.
Eventually, the surrounding gum line would bleed every time I brushed it and, despite some dental dexterity, plaque was rapidly building up behind it. Something I could feel whenever I ran my tongue along the back of my teeth.
Combined, these factors meant that it remained at the forefront of both my mind and mouth.


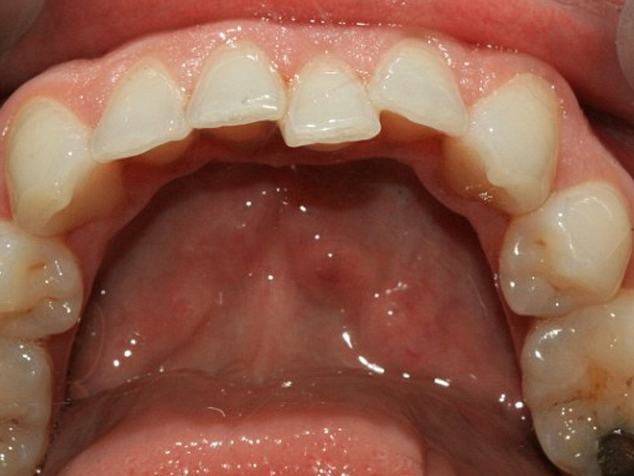
Change in the making: The Inman Aligner pushes and pulls the teeth into place for a fast result
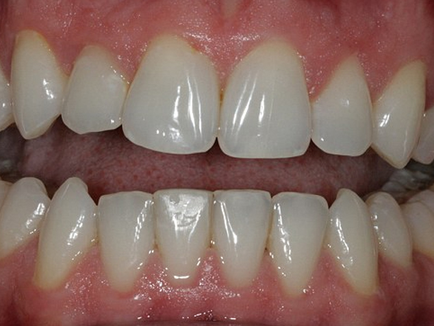
Ta-dah! Within two months the patient`s teeth were perfectly straight – and will remain that way
But, because my situation wasn’t a complex one, the available options seemed disproportionate.
I didn’t want to entertain veneers and the prospect of undergoing another fixed brace at the ripe old age of 36 was not appealing. It was bad enough the first time.
Naturally, I even looked into the possibility of big-name clear braces, but – despite their popularity – they still required a commitment and cost I wasn’t willing to give.
Quite frankly, I’d been there and done that. I wanted a quicker, cheaper fix.
So, while on a journalist commission to find the hot new trends in cosmetic dentistry, I was intrigued to learn of something that’s since been dubbed the ‘express’ brace.
Named the Inman Aligner, it’s a relatively new device that drastically reduces treatment time by pushing and pulling teeth simultaneously.
To investigate, I booked myself an appointment with a different Clinic.


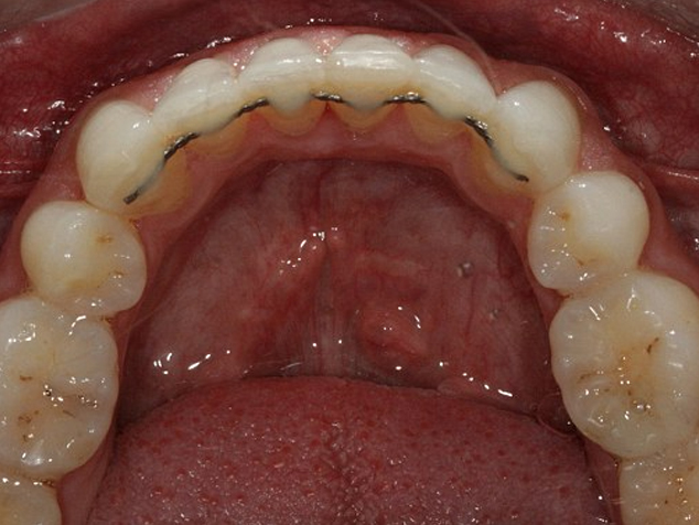
Hidden: The wire is discreetly placed behind the teeth and cannot easily be seen
The Dentist explained that – unlike traditional braces – the Inman Aligner has Nickel Titanium coil springs that power two bows in opposite directions, guiding the teeth into their new position, faster and cheaper than its rivals.
‘For patients with mildly crowded front teeth, like James, the Inman Aligner can be the fastest, cheapest and most convenient treatment,’ the Dentist said.
‘It has the advantages of a removable appliance so it can be removed during eating and brushing. Also the minimum sixteen hours of wearing the appliance can be scheduled around the working hours of 9am to 5pm. Some patients even wear it during work and then take it off if they have a meeting or a client face-to-face interaction.


Something which was not discussed as part of my original treatment in the 90s – which is a shame because it could’ve saved me a whole heap of effort down the line.Thankfully, today’s patients are more informed about the importance of avoiding short-cuts – although industry experts admit there’s still more to be done to stop patients and practitioners cutting corners, be it to save time or money.
‘Today, many more patients are aware of the importance of wearing retainers as part of their orthodontic treatment,’ says Richard George, Director of External Relations for The British Orthodontic Society.
‘We recommend it’s a commitment they make right at the start of treatment. As the leading voice for orthodontics in the UK, we believe retainers are essential and should be universally recommended. This year we will be working on a wider campaign to re-inforce this message to both patients and the wider dental profession.’

Dr Tif Qureshi, Clinical Director of Inman Aligner Training – who first used the device in Britain – agrees. ‘Relapse is highly common- the simple reason is that whether you have braces or not, if your teeth started slightly crooked they normally always want to get worse. Therefore retainers are essential,’ he says.
‘The good thing is that retention methods are so much better than they used to be- The British Orthodontic Society have done very well in making the profession more aware of the latest methods.
‘The gold standard, which we use, is that you would wear a fine wire bonded to the back of the teeth and also have a clear plastic retainer that covers the edges at night. Some people don’t like the idea of retainers, but the truth is that they can not only stop your teeth looking more crooked, but this can actually stop your teeth wearing. This means they can stop your teeth ageing’.
Sold on how much things have changed since my first foray into the dentist’s chair, I got started with the new, improved process. First, this involved a quick X-ray of my teeth to check their health, followed by impressions to create the reverse moulds needed to tailor-make my device.

I then had to have my teeth ‘stripped’. This saw a very thin strip of metal floss rubbed between them, filing them down on a microscopic level so they’d have space to move. Something which was surprisingly pain-free.
Next, was my first public outing. Would it be obvious? Or would people stare? The answer was neither: friends only noticed my brace when I pointed it out.
Not that they haven’t become fashionable thanks to likes of Cristiano Ronaldo and Little Mix’s Perrie Edwards, of course. But, still, I wanted discretion – and, honestly, the only real give-away was a mild lisp which, colleagues assured, was less obvious than I feared.
Surely another selling point which helps explain why the Inman Aligner has become so successful since its launch in 2001. To date, more than 300,000 patients have had the treatment, 200,000 of them in the UK alone.
Now, I’m proud to say I’m one of them. Punctuated with fortnightly check-ups, the six weeks of treatment flew by. Suddenly, I found myself on the home-stretch to a straight smile.
Today, for the first time in twenty years, I have perfectly symmetrical teeth and it truly feels fantastic.
In fact, it might just be better second time around.