Teeth whitening works through a chemical process called oxidation, which involves using peroxide-based bleaching agents like hydrogen peroxide or carbamide peroxide. When these peroxide molecules come into contact with the stains on the tooth surface, they break down the colour compounds, leading to a whitening effect.

Here’s how teeth whitening clinically works, focusing on the action of peroxide:

  1. Peroxide Penetration: The peroxide-based whitening gel is applied to the tooth surfaces. It can be in the form of a gel placed in custom-made trays that fit over your teeth or as a gel applied directly by a dentist in surgery.
  2. Breaking Down Stains: Once applied, the peroxide molecules penetrate the enamel (the outer layer of the tooth) and reach the dentine (the inner layer). The peroxide molecules then interact with the accumulated stain molecules on and within the tooth structure.
  3. Oxidation: During this process, the peroxide molecules break down the chemical bonds of the stain molecules through oxidation. This chemical reaction causes the stain molecules to become colourless, resulting in a lighter appearance of the teeth.
  4. Removal of Stains: As the peroxide continues to react with the stains, it gradually removes the discolouration, resulting in a whiter and brighter appearance of the teeth.

It’s important to note that teeth whitening primarily targets extrinsic stains (surface stains caused by external factors such as coffee, tea, wine, tobacco, etc.) and some intrinsic stains (stains that occur within the tooth structure, usually due to ageing, trauma, or certain medications). However, certain intrinsic stains may not respond as effectively to whitening treatment and may require alternative cosmetic dental procedures, such as veneers or bonding.

Furthermore, teeth whitening is generally safe when used as directed by dental professionals. However, it may cause some individuals temporary tooth sensitivity or gum irritation. Therefore, it’s essential to consult with a dentist before undergoing any teeth whitening procedure to determine the most suitable treatment and ensure good oral health before starting the process. Also, maintaining proper oral hygiene and avoiding foods and beverages that can stain the teeth can help prolong teeth whitening results.

How does Teeth Whitening work on Tetracycline stained teeth?

Tetracycline-stained teeth are intrinsic staining caused by using tetracycline antibiotics during tooth development. In general, a grey colour is reported, and it can appear almost as bands of colour in the teeth.

Due to their deep-seated nature within the tooth structure, these stains can be challenging to whiten using conventional teeth whitening methods alone. However, teeth whitening with peroxide-based agents can still have some effect on these stains, although the results may vary depending on the severity of the staining.

The effect of Peroxide is the same as whitening “normal teeth.”

  1. Penetration: When a peroxide-based whitening gel is applied to the teeth, the peroxide molecules penetrate the enamel and reach the dentin, the layer beneath the enamel containing the tetracycline-stained areas.
  2. Breaking Down Stains: The peroxide molecules interact with the tetracycline molecules within the dentin. Tetracycline stains are formed due to incorporating the tetracycline antibiotics into the mineralized tooth structure during tooth development. The peroxide seeks to break down the chemical bonds of the tetracycline molecules through oxidation.
  3. Oxidation: During this process, the peroxide triggers an oxidation reaction to break down the tetracycline molecules and convert them into colourless by-products. However, it’s important to note that tetracycline stains can be pretty stubborn, and their chemical structure can make them more resistant to oxidation than other types of colours.
  4. Diffusion: As oxidation occurs, the colourless by-products are small enough to diffuse out of the tooth structure. However, since tetracycline stains are deeply embedded within the tooth, the diffusion of the colourless by-products may be limited, and complete removal of the stain may not be achieved with teeth whitening alone.

Limitations of Whitening Tetracycline Stained Teeth:

  • Severity of Staining: The success of teeth whitening on tetracycline-stained teeth depends on the severity and depth of the stains. Sometimes, the colours may be too deeply embedded to achieve satisfactory results with whitening alone.
  • Gradual Improvement: Teeth whitening may gradually improve the tetracycline stains over multiple sessions, but complete removal of the staining is unlikely.
  • Alternative Treatments: For severe tetracycline stains that do not respond well to teeth whitening, alternative cosmetic dental treatments may be recommended, such as dental veneers or dental bonding. These treatments involve placing thin layers of tooth-coloured material over the front surface of the teeth to conceal the stains effectively.

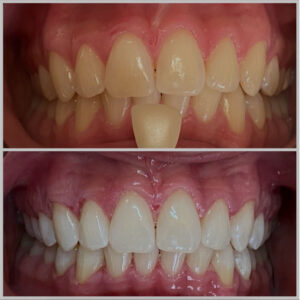
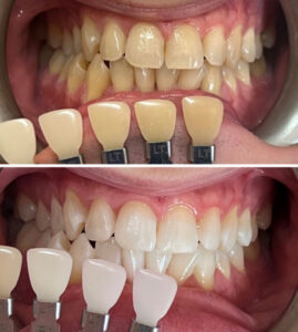
In conclusion, teeth whitening works by oxidation of INTRINSIC and EXTRINSIC agents that cause staining and discolouration of teeth.

Personally our favourites: Boutique Whitening and Enlighten Whitening

We have over 30 years of clinical experience in the history and types of Teeth Whitening

For advice on all types of Teeth Whitening, we are happy to provide impartial and professional advice.

For information about who is permitted to perform teeth whitening procedures, please consult the BDA website.

Share this on:
Back to blog

Book a Consultation

All personal data submitted via this form will only be used to contact you to book your consultation and stored until your enquiry is closed.