By Tracey Bell
28 January
Tracey Bell Dental & Aesthetic Medical Clinics
After more than 33 years in clinical dental practice, I can confidently say that cracked tooth syndrome is one of the most common – and most misunderstood – dental problems I see. Some cracks are easy to diagnose, others are extremely subtle. Some need urgent treatment, some need careful monitoring, and some simply need prevention and reassurance.
This blog is written to help you understand what cracked tooth syndrome is, why it happens, how it feels, how we diagnose it, and what treatment options are available – using both clinical science and decades of hands-on experience.
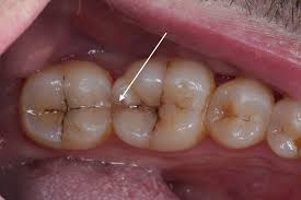
What Is Cracked Tooth Syndrome?
Cracked tooth syndrome refers to a crack within a tooth that is often invisible to the naked eye, yet causes symptoms such as pain on biting, discomfort with hot or cold, or an intermittent sharp sensation that is difficult to pinpoint.
Unlike a tooth that has clearly fractured or broken, a cracked tooth:
- Often looks normal
- May not show up clearly on X-rays
- Can cause symptoms that come and go
- Is frequently misattributed to “sensitive teeth” or sinus pain
This is why it can be so frustrating for patients — and why clinical experience matters enormously in diagnosing it.
Why Do Teeth Crack?
Teeth crack for many reasons, and it is rarely due to just one factor. In practice, cracked tooth syndrome is usually the result of cumulative stress over time.
Common contributing factors include:
- Biting on hard foods (nuts, ice, seeds, crusty bread)
- Large fillings, particularly older amalgam restorations
- Teeth that have had root canal treatment
- Grinding or clenching (bruxism), often during sleep
- Sudden temperature changes, such as hot drinks followed by cold
- Age-related fatigue of tooth structure
- Trauma, even if it occurred years ago
In my experience, many patients are surprised to learn that teeth can crack slowly and silently, sometimes over years, before symptoms appear.
What Does a Cracked Tooth Feel Like? 
One of the hallmarks of cracked tooth syndrome is that symptoms are inconsistent. Patients often say:
- “It hurts sometimes, but I can’t tell you which tooth”
- “It’s a sharp pain when I bite, then it goes”
- “Cold makes it worse, but not always”
- “I know something isn’t right, but I can’t explain it”
This inconsistency is not imagined — it reflects the way a crack opens and closes under pressure.
Typical symptoms include:
- Pain on biting or release of biting pressure
- Sensitivity to cold (and occasionally heat)
- Discomfort that is difficult to localise
- Pain that disappears when chewing stops
- Symptoms that worsen over time
Importantly, not all cracked teeth hurt initially, which is why early detection and prevention are so important.
Why Are Some Cracks Easy to Diagnose and Others So Difficult?
After 33 years in dentistry, I can tell you that cracked tooth syndrome sits on a spectrum.
Easier to diagnose cracks
These may:
- Be visible under magnification
- Be associated with a large or failing filling
- Produce a very specific pain on biting
- Respond clearly to diagnostic tests
More difficult cases
These:
- Are microscopic
- Only hurt intermittently
- May affect teeth that look “perfect”
- Do not show on X-rays
- Require time, monitoring and clinical judgement
Dentistry is not always black and white. Some cracked teeth reveal themselves immediately; others need careful assessment over several visits.
How Do We Diagnose Cracked Tooth Syndrome?
Diagnosis is based on listening, testing, experience and pattern recognition — not just one test.
Diagnostic tools may include:
- A very detailed history of your symptoms
- Clinical examination under magnification
- Bite tests to reproduce symptoms
- Cold testing
- Transillumination (using light to reveal cracks)
- Radiographs (to assess supporting structures, not the crack itself)
No single test gives all the answers. Diagnosis often comes from putting the pieces together.
Do All Cracked Teeth Need Treatment?
No — and this is a very important point.
Not every crack requires intervention. In practice, cracked teeth fall into different categories:
1. Cracks that need prevention only
These teeth:
- Are symptom-free or mildly sensitive
- Show early signs of stress
- Benefit from monitoring and protective measures
Management may include:
- Night guards for grinding
- Dietary advice
- Monitoring at review appointments
2. Cracks that need stabilisation
These teeth:
- Cause pain on biting
- Are structurally compromised
- Are at risk of worsening
Treatment may involve:
- Protective restorations
- Cuspal coverage (onlays or crowns)
- Reducing biting forces
3. Cracks that need more complex treatment
If the crack reaches the pulp (nerve):
- Root canal treatment may be required
- Followed by full coverage restoration
4. Cracks that cannot be saved
Sadly, some cracks extend too far below the gum or into the root. In these cases, extraction may be the healthiest option. While this is never the first choice, it is sometimes the kindest long-term solution.
Why Early Intervention Matters
Cracks do not heal. They either:
- Stay the same
- Or worsen over time
Early intervention:
- Reduces pain
- Preserves tooth structure
- Prevents nerve involvement
- Avoids more invasive treatment later
In my experience, patients who act early often save both time and cost — and most importantly, keep their natural teeth longer.
Prevention: What Can You Do?
Prevention is always better than cure.
Practical steps include:
- Avoid chewing ice or very hard foods
- Address clenching or grinding early
- Wear a professionally made night guard if advised