🙈 You have pain in your tooth, but the dentist cant identify it
🦷 It’s painful if you bite on some things but not another – We see lots of this in dentistry
You think its that tooth, but not too sure
🙈 You have had x-rays but no decay, no infection – The dentist can’t see anything
🦷 The history and description are often the same, and often its “Cracked Tooth Syndrome
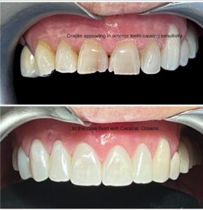
Here is a case I saw today
✅ Pain on and off over the last year
✅ It came, it went
🦷 Then off to the cinema, that last bit of popcorn and “crunch.”
“the strange thing, Tracey, the pains gone now.”
✅ Yes, that often happens too
☎️ Below is an Information Leaflet written By a Uk dentist in Cracked Tooth syndrome – a good overview and a condition that many patients may be able to identify with
Cracked Tooth Syndrome (CTS)
A cracked tooth is a relatively common problem that most patients will experience at some point in their lives. Teeth can crack in various different ways, from simple craze lines to deeper cracks that may leave your dentist with no other option but to extract them. Even teeth with merely superficial gaps can degrade over time.
How will I know if I have cracked my tooth?
One of the problems with cracked teeth is that there are different types of cracks, and not all are easy to spot. For instance, if you crunch down on a boiled sweet and feel a sharp pain in your tooth, you have likely damaged your tooth and need to see your dentist.
However, not all cracks in your teeth happen so abruptly or obviously. In fact, you can have a tooth with a hairline crack that may not give you any pain at all. But what if that crack starts to grow? When you start to notice the pain, it may be too late to save the tooth.
What causes teeth to crack?
There are multiple causes – eating something hard like a carrot, apple, or granola is common. Sometimes grinding or clenching your teeth can lead to cracks. Trauma is a pet or a baby banging against your mouth. Another common reason is large old fillings in teeth and aged teeth. Sometimes certain habits can lead to cracks, like biting nails or chewing pencils and pen lids. Sudden temperature changes can contribute to cracks, for instance, hot food followed by a cold beverage. At other times, cracks seem to occur for no obvious reason. It gets very frustrating for both patients and dentists.
How can I prevent a cracked tooth?
Although not all cracks can be prevented, there are measures you can take to minimise your risk:
- Avoid chewing on complex objects like pens and ice or hard foods like carrots or apples
- Avoid opening bottles with your teeth
- Avoid biting your nails
- Avoid excessive acid in your diet
- Wear a mouthguard if you play contact sports or if you grind or clench your teeth
- Avoid any trauma to your teeth
Which teeth are most likely to crack?
In order:
- lower molar teeth
- upper premolar teeth
- upper molar teeth
- lower premolar teeth
How will my dentist detect a crack in my teeth?
Cracked tooth syndrome is notoriously difficult to diagnose. Cracks cannot be seen on xrays, although your dentist may take some images to exclude other causes of pain.
Your dentist will look at your teeth carefully. Sometimes magnification can help.
The diagnosis is often based on the history and symptoms you complain of. Your dentist will perform a thorough examination and review your history and symptoms. They may use bite pressure tests to help identify the crack.
In some cases, identification is not possible, but issues with your teeth will usually reveal themselves, although this may take some time!
What kind of symptoms will I get if my tooth is cracked?
These are the following common signs, although these symptoms can be indicative of other dental issues, and you will not necessarily have to suffer from all of these symptoms:
- sharp pain or discomfort when biting or chewing, especially on the release of the bite
- sensitivity to hot and cold foods and drinks
- pain when the tooth is exposed to temperature changes
- intermittent pain that comes and goes without an apparent cause
- discomfort when biting hard foods or when releasing biting pressure
- swelling of the gum near the affected tooth
- difficulty locating the exact cause of pain
What happens if my dentist spots a crack in my teeth? What are my treatment options?
The treatment for a cracked tooth depends on the extent and location, and various options exist.
These options may include:
- Bonding – If a crack is tiny and superficial and has no symptoms, your dentist may apply a tooth-coloured filling material to restore the tooth’s shape and prevent the crack from spreading.
- Dental crown – A crown, also known as a cap, may be recommended to hold the parts of the tooth together. The crown covers and protects the tooth, preventing the propagation of the crack. There are risks associated with this treatment, including a need for subsequent root canal treatment (risk is 1 in 5) or failure of treatment
- If the canal extends to the tooth’s pulp or there are significant symptoms, root canal treatment can be undertaken. After the root canal treatment, a crown is usually placed to protect the remaining tooth structure. An accepted failure rate associated with root canal treatment can vary from 5-25%, depending on which study you look at.
- Extraction – this is sometimes the only or eventual option. There are methods to replace missing teeth.
What happens if I don’t treat my cracked tooth?
Often, given enough time, the cracked tooth will split completely. This will cause constant pain until the tooth is extracted, as it is impossible to repair a split tooth.
What are the methods of replacing a missing tooth?
Several methods include accepting the gap or using a removable denture, a bridge or an implant. These options will depend on a case-by-case basis. This issue is best discussed with your treating dentist.
Back to blog


