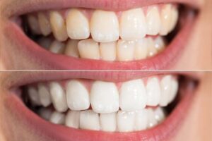
Tracey – This week, It’s my big Birthday, and I thought I’d try and whiten my teeth – but it’s so sore.

I had a look, and yes, she had some minor burns from the bleach – Not bad, but bad enough to attend.

“Have you used more than you usually do in your trays?” I asked.

“No – was the reply.

“Do you grind?” I asked.

“You know what I did and stopped, but in the last six months, with different things, I’ve found myself grinding”.

That was probably the cause.

You know what? I’ll write that up this weekend.

When patients grind their teeth at night and attempt teeth whitening using trays loaded correctly with bleaching agents, they may experience unsatisfactory results. So why?

    1. Uneven Distribution of Bleaching Gel: Grinding can cause a constantly changing and uneven surface on the teeth. When the teeth are ground down or become uneven due to bruxism, the bleaching gel may not be distributed evenly across the tooth surfaces. Consequently, some areas may receive more bleach, leading to uneven whitening results.
    1. Reduced Contact Time with Teeth: Teeth grinding can create irregularities in the tooth surface, which may cause the whitening gel to be prematurely expelled from the tray at night. Due to the grinding motion, the gel may not have sufficient time to adhere to the teeth and effectively whiten them before being dislodged. It can dislodge onto the gums and, like in this case, cause irritation
    2. Abrasion and Loss of Bleach: The grinding action can generate abrasive forces, potentially removing the bleaching gel from the tooth surfaces. This constant friction and movement can reduce the effectiveness of the whitening treatment, diminishing the intended results.
    3. Gum Irritation and Bleach Leakage: Grinding can also affect the fit of the whitening tray. The pressure and movement from grinding can cause the tray to shift, allowing the bleaching gel to leak and come into direct contact with the gums. This can lead to gum irritation or chemical burns.
  1. Sensitive Teeth: The abrasive nature of teeth grinding can make teeth more sensitive. Applying the bleaching gel, which may already cause sensitivity, to teeth that are already sensitive due to grinding can intensify discomfort and make the whitening process unpleasant.
  2. Longer Treatment Duration Required: Due to the challenges posed by grinding, individuals who grind their teeth at night may require a longer treatment duration to achieve the desired whitening results. The constant wear and tear on the teeth can slow down the whitening process

The Solution Boutique now produces a whitening gel that can be worn for 90 minutes daily. We find that it helps those who grind smaller amounts of gel and longer periods to achieve the result.

It is all about diagnosis and choosing the correct teeth whitening for you.

Share this on:
Back to blog

Book a Consultation

All personal data submitted via this form will only be used to contact you to book your consultation and stored until your enquiry is closed.